近期,46岁的蔺女士从2020年5月初开始不规则阴道流血一月。平素里,蔺女士月经正常,也无痛经,但此次月经来潮至今未净,还有血块,伴头晕乏力。
2020年6月2日,蔺女士怀着不安的心情,来到黄石爱康医院妇科进行检查。虽然来之前已经有了面对不好结果的心理准备,但一颗良性的6公分左右大的子宫肌瘤还是吓了一跳。然而,进一步的检查不仅让她吃惊,更感到了恐慌。
这一检查让妇科医生也大吃一惊!医生检查时触及腹部一硬质包块,无明显边界,上至剑突下,下至盆腔,两侧至腋中线,无压痛,固定,说明这包块占据了患者整个腹腔,考虑来源于其它脏器,立即行全腹CT检查。可患者有密闭空间综合症,一开始拒绝CT检查,医生反复给患者做思想工作,并强调此项检查的重要性,患者足足犹豫了两天,才终于在医护人员及家属的鼓励下顺利完成了检查。腹部CT提示,高度怀疑右肾有一颗脂肪肉瘤。
遂请泌尿外科会诊协助诊治,经检查,结合CT考虑肾周围或腹膜后肿瘤。最终诊断为:右肾巨大脂肪肉瘤。且肿瘤从腹腔延至盆腔,腹腔脏器受压推移。医生建议,子宫肌瘤多为良性,不影响生命,可暂缓手术,但右肾巨大脂肪肉瘤必须尽快手术摘除。
蔺女士面对这样的诊断结果,心里一时无法接受,不愿意接受手术。经过丈夫多次劝导,最终同意进行手术。




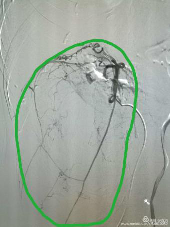
经血管重建提示:肿瘤供血丰富。泌尿外科建议:肿瘤来源于肾窦,手术风险极高。手术过程中,可能出现损伤动脉出血,导致患者休克;取瘤后腹腔压力下降,造成血压下降,休克等风险,术前须经介入科行右肾血管栓塞治疗。


经过全院大会诊,多学科联合诊疗,为降低手术风险,减少术中出血,最终确定手术方案为:术前先行介入栓塞,再行手术切除。
介入治疗中“经导管栓塞术”是通过阻断血管内血流而达到治疗各种类型的大出血、血管异常或者为丰富血供的病变预栓塞,为特大外科手术创造无出血的条件。术前DSA引导下行病变血管栓塞,可有效地减少术中出血, 使手术视野更清楚, 肿瘤更易于暴露, 使邻近的解剖结构更容易显露, 为顺利、彻底切除肿瘤创造了条件。术中出血少,也有利于患者术后的恢复。

(介入DSA下造影提示:肿瘤供血丰富
存在广泛的侧枝血管供血)

(介入栓塞后,肿瘤血液供应完全阻断
大大降低了手术出血风险)
术中,可见患者肿瘤包绕右肾,占据大半个腹腔,与腹部大血管粘连。经过多学科联合诊疗(MDT),最终完整切除肿瘤。足足有八斤多重,术中出血少,无需输血。目前患者无阴道流血不适,待病情稳定后,再择期行子宫肌瘤切除术。患者丈夫看到这么大的肿瘤,着实吃了一惊,同时也感谢医生们的妙手仁心。

(足足8斤大肉瘤!)
多学科诊疗模式(MDT),是现代国际医疗领域广为推崇的领先诊疗模式。MDT在打破学科之间壁垒的同时,可以有效推进学科建设,实现医生、科室和医院的共同提高。并实现各科资源和优势的最大化整合,提高诊治质量,从根本上降低医疗费用,大大改善患者的就医体验!
